Avansert MR-avbildning av kreftsvulster kan identifisere risikopasienter
Avansert MR-teknologi kan avdekke egenskaper ved kreftsvulster som forteller om pasientens prognose, viser en ny studie ved Ahus. Samtidig oppdaget forskerne en overraskende forskjell på kvinnelige og mannlige endetarmskreftpasienter. - Dette er et spennende funn og verdifull innsikt for fremtidig forskning og behandling, sier PhD Kine Mari Bakke.

Tykk- og endetarmskreft, eller kolorektal kreft, er blant de vanligste kreftformene i Norge. Behandlingen som gis kommer an på hvor langt kreften er kommet og hvor den er lokalisert, og MR-avbildning er i dag standardmetoden for å si noe om dette. Men med vanlig MR er det begrenset hvor mye man kan finne ut.

Kine Mari Bakke, MR-fysiker og PhD ved Ahus.
- Det er behov for mer presise metoder for å bedre velge hvilken behandling som bør gis den enkelte pasient, sier MR-fysiker og PhD Kine Mari Bakke ved Akershus universitetssykehus (Ahus). I studien, som er en del av hennes doktorgradsprosjekt, har Bakke og kolleger brukt en mer avansert MR-teknologi for å dokumentere at det er en sammenheng mellom bestemte biologiske egenskaper i svulstene og hvordan pasientene reagerer på behandling.
- Ved å kombinere flere MR-metoder har vi kunnet beregne flere parametre og få ut mer informasjon om mikromiljøet til svulsten, sier Bakke. Hun har sett på perfusjon, altså blodgjennomstrømningen i svulsten, hos 94 pasienter med endetarmskreft.
Lav blodgjennomstrømning ga dårlig prognose
Mens pasienten ligger inne i MR-maskinen gis de kontrastvæske som vil gå gjennom blodårene frem til kreftsvulsten.
- Ved å ta hurtige bilder med høy tidsoppløsing
kan vi se denne blodgjennomstrømmingen omtrent som en film. Disse bildene kan
brukes til å beregne mange aspekter av kreftsvulstens biologiske mikromiljø ved
hjelp av matematiske modeller, forteller Bakke.
Forskerne fant en klar
sammenheng mellom svulstens blodgjennomstrømming og pasientens prognose.
- Pasienter med lav blodgjennomstrømning hadde dårligere effekt av
behandling og større sannsynlighet for spredning av sykdommen til andre organer
i kroppen, sier Bakke.

Diagrammet over deler inn pasientene i to grupper med høy og lav blodgjennomstrømning. Den røde kurven viser at flere i gruppen med lav blodgjennomstrømning har progresjon . Den blå kurven viser pasienter med høy blogjennomstrømning, der få av pasientene har progresjon. Hvert hakk i linjene er en pasient med progresjon, det vil si at pasienten får tilbakefall, metastase (spredning) eller dør. Kilde: Bakke et al. Radiology 2020


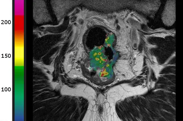
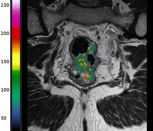
Her er MR-bilder av to ulike pasienter som har endetarmskreft i samme stadium. Den øverste har lav blodgjennomstrømning, og den nederste har høy. Den første ble diagnostisert med spredning til lever etter 12 måneder, mens den andre er sykdomsfri etter fem år. Kilde: Bakke et al. Radiology 2020
- Metoden må optimaliseres, men jeg håper den etter hvert kan brukes til å
avgjøre hva slags behandling som egner seg best til hver enkelt pasient.
For Bakke og kollegene var det ikke overraskende i seg selv at lav
blodtilførsel kan føre til mer aggressiv kreft.
- Det har i lang tid vært
observert at svulster som har oksygenmangel, eller hypoksi, har dårligere effekt
av behandling, særlig strålebehandling, og har større sannsynlighet for å spre
seg til andre organer. Svulster som har dårlig blodgjennomstrømning vil
nødvendigvis ha dårligere tilgang på oksygen, forklarer hun.
- Denne
metoden for å beregne blodgjennomstrømming er svært lite brukt ved denne typen
kreft, og vi ble overrasket over hvor bra den virket, sier Bakke.
Overraskende forskjell mellom menn og kvinner
I analysen dukket det dessuten opp en uventet forskjell mellom menn og kvinner.
- Ved et visst stadium i sykdomsforløpet var det en klar tendens til at blodgjennomstrømningen i svulsten var høyere hos kvinner. Bakke vet ennå ikke hvordan disse resultatene bør tolkes, men hun mener de kan være viktige i fremtidig forskning.

Diagrammet viser at det dukker opp en forskjell i blodgjennomstrømning i endetarmssvulsten mellom menn og kvinner i mer alvorlige stadier av kreftsykdommen. Kilde: Bakke et al. Radiology 2020
- Dette funnet tyder på at det er forskjeller i biologien mellom menn og kvinner som det kan være lurt å vite om i fremtidig forskning og behandling. I en kreftform som tarmkreft er det nok ikke alle som tenker over at de mer basale forskjellene mellom menn og kvinner kan ha en rolle i kreftens utvikling. Det er når kreften når et visst stadium at mer biologisk avansert behandling kan bli aktuelt, som for eksempel kombinasjon med immunterapi, og i disse tilfellene er det viktig å vite mest mulig om biologien til kreften.
Publisert i Radiology
Studien ble igangsatt i 2013 av Kathrine Røe Redalen, tidligere fysiker ved Ahus, og er en del av OxyTarget-studien, som ser på flere aspekter ved endetarmskreft. OxyTarget omfatter mange avdelinger ved Ahus, som avdeling for onkologi, radiologi, patologi og gastrokirurgi.
Artikkelen som presenterer resultatene ble i september publisert i tidsskriftet Radiology. Professor i onkologi Anne Hansen Ree forklarer hvorfor dette ikke bare er stas, men "trippelstas":
- Radiology er radiologifagets fremste tidsskrift. Det som blir publisert der, blir ofte tatt i bruk i bildediagnostikk verden over, og det er ikke hverdagskost med artikler fra norske institusjoner i dette tidsskriftet. Radiologiske prosjekt er ofte en "glemt" forskning, men helt avgjørende for at onkologer og kreftkirurger kan gjøre jobben sin. Forskingsarbeidet er utført på "vanlige" kreftpasienter ved Ahus, og er derfor representativt for en stor pasientgruppe i landet, og verden. Så det er trippelstas, synes vi!
Referanse:
Bakke, K.M; Meltzer, S; Grøvik, E.; Negård, A; Holmedal, S.H.; Gjesdal, K.; Bjørnerud, A.; Ree, A.H.; Redalen, K.R.: Sex Differences and Tumor Blood Flow from Dynamic Susceptibility Contrast MRI Are Associated with Treatment Response after Chemoradiation and Long-term Survival in Rectal Cancer. Radiology, sept 1 2020.
Klikk her for å gå til artikkelen
Se flere nettsaker om fremtidens pasientbehandling på Helse Sør-Øst RHF's temaside